Forum Fundacji Warta Goldena Strona GłównaForum Fundacji Warta Goldena Strona Główna
FAQ  Szukaj  Użytkownicy  Grupy Rejestracja  Chat  Zaloguj

Poprzedni temat :: Następny temat
MAX ma już dom w Warszawie - 326
Autor Wiadomość
Angelika i Spike 
DOM WARTY GOLDENA

Wiek: 32
Dołączyła: 17 Lut 2016
Posty: 14769
Skąd: Wrocław
Wysłany: 2018-05-21, 12:31   

Jaki sliczny Maxio :D
_________________
Nowy dom Spajkusia od '16 ;-)
Angelika i Radosław
/ Diana (*), 2005-2015
/ Lola (*), 2024-2025
 
 
Magda i Majlo 
WARTA GOLDENA

Dołączyła: 15 Mar 2018
Posty: 208
Skąd: Wrocław
Wysłany: 2018-05-23, 11:16   

"Maksio przesyła uszate pozdrowienia!"

 
 
Magda i Majlo 
WARTA GOLDENA

Dołączyła: 15 Mar 2018
Posty: 208
Skąd: Wrocław
Wysłany: 2019-01-09, 17:58   

nowe wieści od Maksa :

"Dzień dobry,

Ponieważ Maksio bardzo dobrze się sprawuję, przesyłam jego pochwałę oraz kilka wakacyjnych fotek :)

Z takich przyjemniejszych rzeczy, to od lipca Max ma nowy teren do biegania i wariowania, z racji tego, że nabyliśmy działkę rekreacyjną.
Stał się poważnym psem stróżującym, zbieraczem patyków oraz złodziejem wszelakich klapek - nawet tych co należą do sąsiadów, ponieważ widocznie jedna działka to za mało, Max wykorzystuje naszą nieuwagę i pod siatką przedziera się na teren obok! Dostał również własny basen, z którego korzysta z umiłowaniem - zwłaszcza gdy jest cały w piachu po kopaniu dołków :P
Z takich ciut gorszych wiadomości, to właśnie na tej działce Max rozciął sobie opuszkę na łapie :( i to dość porządnie.. mimo niezwłocznej wizyty u weterynarza i operacji zszycia, rana nie chciała się zrosnąć i po 2 tygodniach lekarz podjął decyzję o ponownym zszyciu opuszki. Tak więc Max miał przymusowe ograniczenie ruchu przez prawie dwa miesiące :( dla takiego chłopaka to tragedia, nie mógł biegać po dworze więc energia roznosiła go w domu - staramy się to teraz nadrabiać i zabieramy go na wybieganie i łapanie tropów do lasu oraz zawieramy nowe znajomości wśród innych goldenów - również załączam fotkę.

Pozdrawiamy ciepło!
Dorota

















 
 
Nanka i Beza 
DOM WARTY GOLDENA

Wiek: 36
Dołączyła: 02 Mar 2017
Posty: 3577
Skąd: Wieliczka
Wysłany: 2019-01-19, 11:35   

cudak wspaniały! na takie dni, w które nie można szaleć fizycznie polecam wszelkie zabawy węchowe w domu :) na wątku Klary (obecnie w przedsionku adopcyjnym) są moje propozycje, warto skorzystać i zmęczyć głowę, jak nogi muszą odpoczywać :)
_________________
'Wszystko to, co człowiek zwierzęciu wyrządził, spadnie z powrotem na człowieka.'
Pitagoras
 
 
Ola i Junior 
DOM WARTY GOLDENA

Wiek: 27
Dołączyła: 25 Mar 2019
Posty: 30
Skąd: Grudziądz
Wysłany: 2020-03-04, 21:25   

[img][/img]
 
 
Ola i Junior 
DOM WARTY GOLDENA

Wiek: 27
Dołączyła: 25 Mar 2019
Posty: 30
Skąd: Grudziądz
Wysłany: 2020-03-04, 21:28   

Wszystkiego najlepszego dla Maksia <3

Cytat:
Akurat Pani mail przyszedł, gdy zbliżają się 5 urodziny naszego Maksia - już 1 marca, a w grudniu minęło 4 lata odkąd jest z nami - chodź wydaję się nam, ze jest od zawsze z nami :)
Max ma się bardzo dobrze - jest zdrowym, pełnym energii psiakiem, który kocha przytulanie, chociaż bardziej ponad to kocha jedzenie! Nie stroni również od kąpieli w jeziorze, morzu i swoim basenie lub tropienia śladów dzikich zwierząt w pobliskim lesie.

Lubi spędzać z nami wakacje - w tym roku zwiedziliśmy razem wydmy w Łebie, a każdy wolny weekend pomagał na działce - kopał dołki, zbierał patyki i pilnował terenu!

Jest pogromcą kapci, poduszek i ręczników - woli je bardziej od swoich zabawek. Wszyscy, którzy mają z nim kontakt od razu go kochają - wliczając to wszystkie goldenki na osiedlu :P
Max mimo początkowych problemów wyrósł na pięknego i mądrego goldena, który chętnie się uczy, dużo rozumie i codziennie pokazuje jak bardzo nas kocha, a my tą miłość odwzajemniamy <3
 
 
Ola i Junior 
DOM WARTY GOLDENA

Wiek: 27
Dołączyła: 25 Mar 2019
Posty: 30
Skąd: Grudziądz
Wysłany: 2020-03-04, 21:30   

[img][/img]
 
 
Angelika i Spike 
DOM WARTY GOLDENA

Wiek: 32
Dołączyła: 17 Lut 2016
Posty: 14769
Skąd: Wrocław
Wysłany: 2020-03-05, 13:34   

sto lat ;)
_________________
Nowy dom Spajkusia od '16 ;-)
Angelika i Radosław
/ Diana (*), 2005-2015
/ Lola (*), 2024-2025
 
 
Enka_Arka_Sanka 
WARTA GOLDENA

Wiek: 34
Dołączyła: 25 Sty 2023
Posty: 710
Skąd: Gliwice
Wysłany: 2024-11-21, 20:32   

Niestety nie mamy dobrych wiadomosci od Maxa.

Dzisiaj napisała do mnie Pani Dorota:

Dzień dobry,

Przepraszam za brak wcześniejszej odpowiedzi, ale ten rok jest niestety dla nas pełen zawirowań.

Generalnie z Maksiem wszystko było super, żadnych problemów, dużo spacerów po lesie i nowy poziom integracji z naszym najmłodszym członkiem rodziny - 3letnim synkiem Jasiem - wcześniej Maks podchodził do niego z dystansem, ale w tym roku zaczęli się nawet razem bawić, a spacery z tą dwójką w ty samym czasie są teraz w końcu możliwe, co nas bardzo cieszy i daje wszystkim dużo radości. W dodatku budują nam pod domem park, więc mamy teraz nowe ścieżki na spacery.

Niestety nasz spokój zakłócił ostatnio pyszczek Maksia - bo pojawiło się na nim jakaś opuchlizna, ale przy dotykaniu jest twarde. Nie ma żadnych innych objawów, a miejsce to nie sprawia mu bólu. Aktualnie jesteśmy już po wizytach u specjalistów - i tutaj sprawa wygląda dosyć źle i poważnie, ponieważ podejrzewany jest nowotwór - kostniakomięsak, z racji, że jest to duży pies i to jest podobno typowy rak dla tej rasy. Nie mamy jednak tego jeszcze potwierdzonego w badaniach. Są to jednak przypuszczenia weterynarza onkologa.
Czekamy w tym momencie na diagnostykę.
Na wizytach nie było możliwości zrobienia badań, bo pobranie biopsji jest niemożliwe ze względu na twardość tego miejsca, a normalne rtg jest zbyt ograniczone, żeby można było to dobrze obejrzeć.

Mamy skierowanie na tomografię głowy, szyi i klatki piersiowej - do tego biopsja zmiany rozrostowej w znieczuleniu podczas tomografii.
Jesteśmy na etapie zapisu na to badanie, czekamy jeszcze na wyniki badań krwi, które mają być dzisiaj.

Cała nasza rodzina jest załamana chorobą Maksa, oczywiście podejmujemy się leczenia, ale najgorsze jest to, że przy tej opcji, którą podejrzewają weterynarze, możliwości całkowitego wyleczenia są znikome - z racji umiejscowienia tego nowotworu tuż obok nosa- nie ma opcji chirurgicznej, a chemioterapia działa tylko na ograniczenie przerzutów.

Na pocieszenie jest to, że poza guzkiem nie ma żadnych innych objawów, Maks jest w świetnej formie i lekarze są dość zdziwieni tym, że praktycznie 10 letni pies z dużej rasy tak świetnie się trzyma i praktycznie nie starzeje, bo według nich wygląda na psa max. 8 letniego.
To nas bardzo trzyma w nadzieji!

Dlatego też chciałabym tutaj porozmawiać z kimś z Fundacji - może ktoś z rodzin adopcyjnych miał podobny przypadek? Może ktoś może polecić jakiś super lekarzy albo możemy z kimś się skonsultować jak już będziemy mieć komplet badań?


Będę bardzo wdzięczna za wsparcie albo chociaż info zwrotne, czy Fundacja może nas gdzieś pokierować.

Dziękuję za kontakt, przykro mi bardzo, że musiałam przekazać takie przykre informacje :( :( :( :(

Przesyłam jeszcze jego aktualne fotki - Maksio jest bardzo pociesznym i kochanym psem z energią szczeniaka, więc na pewno tak łatwo się nie podda, a my razem z nim!

63521ebe-9650-4352-ad74-c2aa787ef3a9.jpg
Plik ściągnięto 7 raz(y) 30.23 KB

a66e8162-86aa-413e-abfb-1ce9ff1f7eb8.jpg
Plik ściągnięto 8 raz(y) 46.67 KB

_________________
Enka_i_piesełki
 
 
Enka_Arka_Sanka 
WARTA GOLDENA

Wiek: 34
Dołączyła: 25 Sty 2023
Posty: 710
Skąd: Gliwice
Wysłany: 2025-01-13, 21:04   

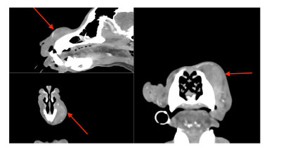
Maxiu jest po pełnej diagnostyce.

Zmiana okazała się włókniakomięsakiem :cry:

Jak pisze Pani Dorota:
Aktualnie nie tracimy czasu i Maks przyjmuje chemię metronomiczną. Do tego rozważamy operację, którą zalecił chirurg onkolog Anna Rajska Krysa z przychodni Bemowo Wet - tam robiliśmy wszystkie badania i tam są w miarę dostępne terminy jesli chodzi o wizyty, dlatego zdecydowaliśmy się na leczenie w tym miejscu.

Nie jesteśmy jeszcze zapisani na zabieg ponieważ taka operacja to duże ryzyko dla psa w tym wieku, w dodatku umiejscowienie guza jest dość kłopotliwe, bo chirurg na pewno będzie musiał zachować margines przy wycięciu i usunąć część kości z nosa :( i szukam oczywiście jeszcze innych opcji i miałam nadzieję, że jest inny sposób, ale wygląda na to, że niestety operacja jest nieunikniona.


Prosimy o mocne trzymanie kciuków za Maxa

Max 1.jpeg
Plik ściągnięto 7 raz(y) 96.28 KB

Max 2.jpg
Plik ściągnięto 7 raz(y) 32.67 KB

Max 3.jpg
Plik ściągnięto 8 raz(y) 28.79 KB

Max 4.jpg
Plik ściągnięto 7 raz(y) 31.51 KB

Obraz TK 1.jpg
Plik ściągnięto 6 raz(y) 29.5 KB

Obraz TK 2.PNG
Plik ściągnięto 7 raz(y) 344.31 KB

_________________
Enka_i_piesełki
 
 
Enka_Arka_Sanka 
WARTA GOLDENA

Wiek: 34
Dołączyła: 25 Sty 2023
Posty: 710
Skąd: Gliwice
Wysłany: 2025-02-13, 18:05   

Dzisiaj napisała do mnie Pani Dorota:

cały czas biłam się z myslami co do operacji - zazwyczaj jestem osobą, która jest zdecydowana zrobic wszystko i lapac się każdej nadziei, że cos pomoże. Ale mielismy tez jeszcze jedna konsultacje w Klinice na Białobrzeskiej u dr. Chomki.
Według niej, po konsultacji z chirurgiem, operacja jest trudna i nie zakończy sie powodzeniem, ze względu na to, że nie ma miejsca na zachowanie odpowiednich marginesów. A to z kolei może sprawić, że w krótkim terminie po operacji pojawi się kolejny guz :( :( Obawiam się więc, że to może jeszcze tylko pogorszyć sytuację. Gdzies na forum przeczytalam takie zdanie: "tak dużo do stracenia, tak mało do wygrania". I po długich namysłach jednak nie decyduję się na operację. W zamian chce mu zapewnic jak najwyzszy komfort i cieszyc sie z tego czasu który jeszcze mamy. Tym bardziej, że ma już 10 lat, więc cieszę się, że tyle czasu mógł być z nami! Mam nadzieję, że jeszcze zadziwi lekarzy i przeżyje jeszcze długie miesiące!!
Maks aktualnie jest w bardzo dobrym stanie. Przyjmuje leki, za chwilę robimy kontrolne badanie krwi. Zmiana na razie nie rosnie drastycznie, mam wrażenie, że ciągle wygląda tak samo, więc to również nastraja nas optymistycznie - mimo okropnej diagnozy :(

Szukam jeszcze informacji na temat suplementacji w takim wypadku, na razie dbamy rowniez o dietę wedlug zalecen lekarzy.
Dziękuję za trzymanie kciuków - tyle osób mu kibicuje, dlatego może Maksio się nie poddaje!


21698a8f-883b-4462-b8cd-831917506537.jpeg
Plik ściągnięto 5 raz(y) 207.4 KB

9f490ab7-0515-4edd-bc61-0e27498b2a29.jpeg
Plik ściągnięto 6 raz(y) 140.22 KB

_________________
Enka_i_piesełki
 
 
Enka_Arka_Sanka 
WARTA GOLDENA

Wiek: 34
Dołączyła: 25 Sty 2023
Posty: 710
Skąd: Gliwice
Wysłany: 2025-05-18, 19:35   

Dzisiaj dostałam najnowsze informacje od Pani Doroty:

Na szczęście Maks ma się dalej bardzo dobrze i choroba nie postępuje tak szybko jak każdy weterynarz onkolog przewidywał.
Guz urósł, ale nie drastycznie, podobno na czas w jakim Maks choruje tempo wzrostu jest naprawdę niewielkie i bardzo dobrze rokuje. Możliwe, że to zasługa chemii i Endoxanu który wyjątkowo dobrze działa, albo - jak wczoraj zasugerowała nam dr Jaśkiewicz z kliniki Elwet - możliwe, ze wyniki histopatologii były niedokładne, i możliwe, że zmiana którą ma Maks jest dużo łagodniejsza niż wynika z opisu.

Cieszymy się, że leczenie działa, i że nie podjęliśmy się operacji, bo kolejny weterynarz onkolog nam to odradził, ale cały czas szukamy innych możliwości. Jesteśmy właśnie po konsultacji w kolejnej klinice - rozmawialiśmy o radioterapii, która w tym wypadku ma szansę cofnąć rozwój guza, bez żadnych skutków ubocznych. Niestety koszta planu leczenia dla Maksa są bardzo wysokie. Do tej pory wszelką diagnostykę braliśmy na siebie (tomografia i histopatologia ok. 4000 pln do tego miesięczne leczenie, morfologie i proszki to koszt ok. 500 zł miesięcznie).
Zalecono nam protokół 6 frakcji raz w tygodniu. W sumie jest to 5 tygodni leczenia w koszcie rzędu 17 000 - 20 000 tysięcy.

Na pewno w takim wypadku musimy założyć zbiórkę. Weterynarz onkolog zalecał, żeby nie zwlekać z radioterapią, no i oczywiście konieczne jest wykonanie wszystkich zleconych frakcji, bo przy mniejszej ilości naświetlań efekt może być odwrotny.
Taki wydatek w tak krótkim czasie przekracza nasze możliwości :(


- wkrótce wrzucimy tutaj link do zbiórki na leczenie Maxa

db6fae30-0d25-4a65-b43d-c056014ff981.jpg
Plik ściągnięto 3 raz(y) 87.25 KB

d1c44eb0-e437-4a16-a024-ed1edcd253ae.jpg
Plik ściągnięto 3 raz(y) 47.75 KB

02470196-a5c0-4b7c-abf7-c347b766a11f.jpg
Plik ściągnięto 3 raz(y) 57.66 KB

_________________
Enka_i_piesełki
 
 
Enka_Arka_Sanka 
WARTA GOLDENA

Wiek: 34
Dołączyła: 25 Sty 2023
Posty: 710
Skąd: Gliwice
Wysłany: Dzisiaj 20:41   

Niestety nie mam dobrych wieści o Maxie - guz rośnie :(

Wydawało się, że radioterapia pomogła, ale niestety do czasu. Od tego roku widzimy pogorszenie - na szczęście w samopoczuciu Maksa wszystko ok, ale guz rośnie i to w dodatku do środka. Podejrzewam, że bez radioterapii w tym momencie byłoby i tak dużo gorzej :( Maks często kicha, trochę trudniej mu się oddycha i widać, że nowotwór atakuje środek nosa i jest też coraz bliżej oka :( :(
Nadal przyjmuje chemię w tabletkach Endoxan + przeciwbólowo Rheumocam i Gabapentynę, ale z forum wiem, że można jeszcze podać cos na stan zapalny, antybiotyk lub steryd. Zapisaliśmy się więc dostać do innego weterynarza onkologa (aktualnie był pod opieką dr. Anny Jaśkiewicz z przychodni Elwet, która także przyjmowała Maksa na radioterapię w RTWet), bo nikt nam do tej pory tego nie zaproponował.
Szukamy więc jeszcze jakichkolwiek innych możliwości jak możemy pomóc, bo Maksio cały czas ma pełno energii i dobrze znosi leczenie, nie ma żadnych skutków ubocznych.
Mam nadzieję, że zmiana weterynarza, który spojrzy na jego przypadek świeżym okiem coś jeszcze pomoże :)

Możliwe, że będzie potrzebna nowa diagnostyka, na pewno zrobimy badania kontrolne no i na bieżąco śledzę też forum i jestem w kontakcie z osobami, które mają psiaki z podobną diagnozą.

Więc prosimy o mocne trzymanie kciuków!

MAX.jpg
Plik ściągnięto 1 raz(y) 59.75 KB

_________________
Enka_i_piesełki
 
 
Wyświetl posty z ostatnich:   
Odpowiedz do tematu
Nie możesz pisać nowych tematów
Nie możesz odpowiadać w tematach
Nie możesz zmieniać swoich postów
Nie możesz usuwać swoich postów
Nie możesz głosować w ankietach
Nie możesz załączać plików na tym forum
Możesz ściągać załączniki na tym forum
Dodaj temat do Ulubionych
Wersja do druku

Skocz do:  

Powered by phpBB modified by Przemo © 2003 phpBB Group
Support forum phpbb by phpBB3 Assistant